Görme Merkezinde Retina Önü Zar Oluşumu (Maküler Epiretinal Membran, Makula Zarı, Macular Pucker)Detaylı ve renkli görmeyi sağlayan görme merkezi (makula) bölgesinin önünde ince bir zar tabakasının oluşmasıdır.
İçindekiler
Neden Görme Merkezimizde Zar Oluşur?
Gözün yaşlanma sürecinde, gözün içini dolduran vitreus dediğimiz yapıda yapısal değişiklikler oluşur. Vitreusta oluşan bu değişiklikler, makula bölgesindeki retinanın iç katlarında degişikler oluşturur ve makulada retina önünde zar oluşumuna yol açabilir.
Hastalığın Belirtileri Nelerdir?
Çoğu zaman makuladaki retina önündeki zarlar çok ince olduğundan hiçbir belirti vermezler ve görmeyi azaltmadan yıllarca sessiz kalabilirler. Ancak, bazen zarlar kalınlaşmaya devam ederler ve görme merkezinde çekintiye yol açarak görmenin azalmasına, cisimlerin eğri görülmesine neden olurlar. Okurken harflerde ve satırlarda eğrilmeler, televizyon seyrederken bulanık ve eğri görmeye neden olabilirler.
Hangi Tetkikleri Yaparız?
Retina anjiyografisi ve OCT (Optik koherenz tomografi) teşhisi koymamız ve tedaviyi planlamamız için yeterlidir.

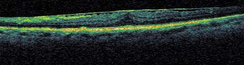
Görme merkezinde retina önü zar oluşumunun OCT görüntülemesi
Retina Önü Zar Nasıl Tedavi Edilir?
Bulanık görme ya da eğri görme gibi görme şikayetlerine yol açmayan retina önü zarlar takip edilir. Eğer zar kalınlaşır, retinaya çekinti uygular ve görme kalitesini bozarsa, vitrektomi dediğimiz ameliyatla bu zarı olduğu yerden soyarız. Görsel sonuçları yüz güldürücüdür ve çoğu olguda görme keskinliğinde ve kalitesinde hastayı memnun edecek bir düzey yakalanmaktadır.
Vitrektomi ameliyatı çoğu zaman lokal anestezi ile yapılmaktadır ve hasta ameliyattan sonra evine gitmektedir.

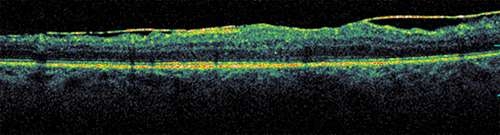
Ameliyat öncesi görme merkezindeki retina önü zar oluşumu